Dentiste VANDOEUVRE LES NANCY
Docteurs ALEXANDRE, ARIB, GLESS & THOMAS
Dentiste VANDOEUVRE LES NANCY
Docteurs ALEXANDRE, ARIB, GLESS & THOMAS

23 boulevard de l'Europe
54500 VANDOEUVRE-LES-NANCY

Blog - Page 6

Frénectomie labiale

Frénectomie labiale

Le comblement de sinus par abord crestal

Le comblement de sinus par abord crestal

Orthodontie : idées reçues, idées revues

Orthodontie : idées reçues, idées revues

L'orthodontie : une affaire de spécialistes

L'orthodontie : une affaire de spécialistes

Bridge collé

Bridge collé

Prévention : scellement de sillons chez l'enfant

Prévention : scellement de sillons chez l'enfant

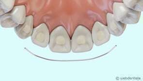
Fil de contention

Fil de contention

Conséquence de la perte des dents postérieures

Conséquence de la perte des dents postérieures

Protocole de dévitalisation d'une dent ou traitement endodontique

Protocole de dévitalisation d'une dent ou traitement endodontique

Parodontite et formation de la poche parodontale

Parodontite et formation de la poche parodontale

Le surfaçage

Le surfaçage

Traitement multi-attaches

Traitement multi-attaches

Affichage des articles 61-72 sur 199

Création par Webdentiste

Connexion